Lời cảnh báo về căn bệnh tràn dịch màn phổi từ sự ra đi đột ngột của chàng Stylist

MY
20/05/2018
39 lượt xem
Thông tin stylist tài năng Trần Tiến Đạt (Mì Gói) đột ngột qua đời vào trưa 18.5 do bị tràn dịch màng phổi khiến không ít người bàng hoàng, đau xót. Nhiều trường hợp khác ra đi vì căn bệnh này. Bệnh tràn dịch màn phổi có những triệu chứng gì, nguy hiểm như thế nào?...

Tràn dịch màng phổi là gì?

Tàn dịch màng phổi hay hội chứng tràn dịch màng phổi là thuật ngữ dùng để chỉ về tình trạng tích tụ dịch (có thể là máu, dịch hoặc khí) trong khoang trống giữa phổi và thành ngực vượt quá mức cho phép ở khoang màng phổi, từ đó gây nên những biến đổi trên lâm sàng.

Nguyên nhân và triệu chứng của bệnh tràn dịch màng phổi

Nguyên nhân làm tràn dịch màng phổi là do các bệnh hay gặp như lao, ung thư, nhiễm khuẩn, bệnh tim mạch, phù niêm, hội chứng móng tay vàng, xơ gan, lupus ban đỏ, viêm cầu thận mạn, hội chứng thận hư, thận ứ nước, tăng urê huyết, sau thẩm phân phúc mạc, bệnh bụi phổi, do nấm và ký sinh trùng khác và không rõ nguyên nhân chiếm tỷ lệ 10% -20%.

Tràn dịch màng phổi hay hội chứng tràn dịch màng phổi là thuật ngữ dùng để chỉ về tình trạng tích tụ dịch

Về triệu chứng, tràn dịch màng phổi có các biểu hiện đặc trưng sau:

– Khó thở, nhất là khó thở khi nằm là triệu chứng thường gặp nhất. Kế đến là đau ngực bên tràn dịch có thể có kèm theo sốt hay không, bệnh nhân có thể ho khan hay ho có đàm nếu nguyên nhân gây tràn dịch là viêm phổi. Nếu do ung thư phổi các cơn ho có thể kéo dài kèm theo khạc ra máu lẫn đàm, cơ thể suy kiệt.

– Bệnh nhân có biểu hiện ho khan khi thay đổi tư thế nằm và khó thở ngày một tăng.

– Sốt, bệnh nhân có thể bị sốt đến 38,5 độ hoặc cao hơn.

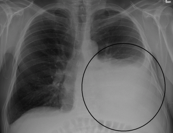
– Khi chụp X-quang phổi thấy hình mờ đậm, đồng đều, dịch thường ở dưới thấp, có khi mờ ở cả hai bên phổi, tim bị đẩy sang bên đối diện.

Điều trị tràn dịch màng phổi bằng cách nào?

Có nhiều nguyên nhân và nhiều loại triệu chứng tràn dịch màng phổi, chính vì vậy trong y khoa thì việc điều trị tùy vào nguyên nhân gây là tràn dịch màng phổi như: Trường hợp tràn dịch màng phổi do bị nhiễm khuẩn thì sử dụng kháng sinh diệt vi khuẩn loại bỏ nguyên nhân gây bệnh.

Đối với việc tràn dịch do ung thư thì áp dụng các biện pháp điều trị bằng phẫu thuật và hóa chất, xạ trị. Ngoài ra, tràn dịch màng phổi do suy tim, suy thận, xơ gan, áp-xe gan…. thì các bác sĩ sẽ điều trị bằng liệu pháp và phác đồ phù hợp với các nguyên nhân này.

Một trong những liệu pháp quan trọng là chọc dẫn lưu dịch để không còn tình trang ứ đọng dịch ở màng phổi. Khi điều trị cần lưu ý điều trị đúng và đủ liều, đủ thời gian đồng thời bệnh nhân tránh làm việc quá sức, cố gắng cải thiện môi trường sống, môi trường làm việc bảo đảm vệ sinh

Chưa có bình luận.

Bình luận bài viết (0)